アポクル予約
※インターネットからの予約方法

※手術の写真を掲載しておりますので、
苦手な方はご注意ください。

膝蓋骨内方脱臼グレード4の治療について
以前、犬の膝蓋骨(パテラ)の内方脱臼(MPL)についてご説明しました。今回はMPLの中でも最も重症度の高いグレード4の治療について解説いたします。MPLグレード4は、パテラが常に脱臼しており、用手による整復が困難である状態のことを指します。このグレードの多くが先天的であり、骨の変形が認められるものも多く、その治療は通常のMPLとは異なる場合があります。
そのため、MPLグレード4の場合には手術の前にCT画像検査を実施し、大腿骨および脛骨と呼ばれる骨に変形がないかを確認します。レントゲンでも変形の評価はある程度可能ですが、3D的に変形していることが多いため、CT画像検査を実施しないと詳細がわからないことがほとんどです。
CT画像検査です。左のパテラ(向かって右側)は内側に大きく脱臼しています。この子の場合には大腿骨・脛骨共に大きな変形はないことがわかります。
この子は左右共にパテラが大きく脱臼しており、大腿骨・脛骨ともに大きく湾曲、回旋してしまっていました。
CT画像データから3Dプリンターで造形したものです。実際に手に取り手術を計画することができます。
パテラが脱臼していることがわかります。これを用いて実際に骨を切ったりしてシュミレーションすることが可能です。
治療には一般的な脱臼治療である
滑車溝形成術(ブロックレセッション)
内側支帯リリース(縫工筋・内側広筋・内側関節包を切開し緩める)
関節包縫縮(外側関節包を縫い縮める)
脛骨粗面転移術
にプラスして大腿骨の矯正骨切術を追加する場合があります。パテラの脱臼に大腿骨の湾曲変形が大きく関わっているからです。この術式の場合には骨の一部を楔形に切断し、プレートで再度固定するという術式を実施します。
その他には大腿骨からパテラが落ちないようにする滑落防止スクリューを用いる方法や、脛骨が内旋しすぎないように制御するラテラルスーチャー法などがあります。
緑の線で骨を一度切断します。実際には3次元的に湾曲変形しているため、側面からの捻れ湾曲も考慮が必要です。
大腿骨矯正骨切術:切断した骨と骨をプレートを用いて固定します。術前よりも湾曲が直線に近くなっているのがわかると思います。
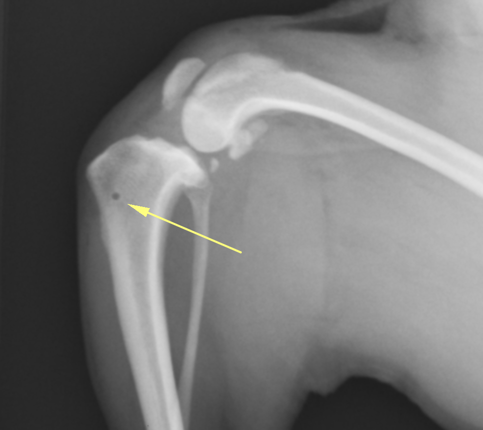
膝蓋骨滑落防止スクリュー:大腿骨にスクリューを打ち、4頭筋を制御することでパテラを落ちないようにする方法です。
ラテラルスーチャー法(Flo法):脛骨の一部に穴を開け、そこに糸を通し、大腿骨の種子骨というところと締結することで、脛骨の内旋を制御し、パテラを脱臼させないようにする方法です。
実際にどの術式を用いるかは、レントゲンやCT画像検査を用いて骨の角度などを計測することで決定します。

MPLはまだその発生原因が不明でありますが、病態などは少しずつ解明されてきております。この術式だけをしておけば大丈夫というものはなく、その子その子に合わせた術式を組み合わせることで手術がうまくいきます。
歩き方がガニ股で、腰を落とした状態で歩く、痛がっていて3本足で歩く、けんけんするなどの症状がある場合にはご相談ください。

執筆担当:獣医師 磯野
動物医療センター元麻布トップページ
港区元麻布3-1-34 カピラ麻布1F
電話はこちらへ