アポクル予約
※インターネットからの予約方法

※手術の写真を掲載しておりますので、
苦手な方はご注意ください。

犬の急性膵炎
膵臓はインスリンなど血糖値を調整するホルモンを分泌させる働きと消化酵素を分泌させる働きがあります。膵炎とは様々な原因によってその消化酵素が 膵臓内で活性化され、自身の膵臓を溶かしてしまう (自己消化)・炎症反応により引き起こされます。 また、膵臓は胃・十二指腸に接しているため膵臓の炎症が起こると隣接臓器の一部またはすべてが影響をうけることもあります。
最近食欲、元気がなくなっている・・・
気持ちが悪そう・・・
嘔吐をしている ・・・
お腹が痛そう・・・

わんちゃんにこんな症状はありませんか?
わんちゃんが上記の症状に加え危険因子に当てはまる場合、膵炎を起こしている可能性があります。
犬の膵炎の危険因子
・中高齢である
・肥満である
・高脂肪食をあげている
・ごみを漁る癖がある
・高脂血症(高コレステロール 血症および高中性脂肪血症)
・内分泌疾患(甲状腺機能低下症・副腎皮質機能亢進症)
・肝胆道系疾患

膵炎になりやすい犬種
・ヨークシャテリア
・ミニチュア・シュナウザー
・キャバリア
・コッカースパニエル
もちろん、これらに当てはまるからと言って膵炎と 判断するのでなく、病院での精査が必要になってきます。
膵炎の診断では主に
・身体検査
・血液検査
・レントゲン検査
・超音波検査 をもとに除外診断を行っていきます。

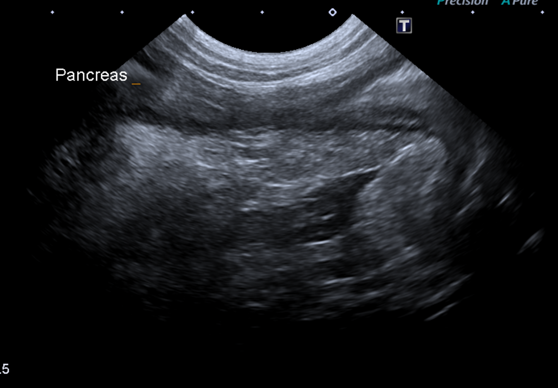
血液検査では膵臓から分泌されるLIP (リパーゼ)値上 昇、炎症があるときに上がるCRPの上昇が見られることが多いです。また、外部への依頼検査で、確定 診断として犬特異的膵リパーゼ(c-PLI)を測定する こともあります。 超音波検査では膵臓の腫大・膵臓周囲の高エコー源 生・十二指腸まで炎症が波及することによる十二指腸のコルゲートサイン(うねうねしてみえる)が指 標となります。
十二指腸のコルゲートサインです。
膵臓が炎症により高エコーとなりモヤモヤして見えるのが分かります。
膵炎の治療は 輸液による脱水の改善、吐き気止め・痛み止めの投 薬などの対症療法、低脂肪食への変更などをやっていきます。自力でご飯を食べる事ができない場合に は鼻カテーテルを使用した給餌も行います。
また、近年では『ブレンダ Z』(フザプラジブナトリウム水和物)という動物医薬品の抗炎症剤を5日間連続で投与することにより治療を行うことで早期に臨床症状の改善をみられるようになりました。
膵炎において重症度は様々で、軽度な消化器症状で 短期的に治癒することもある一方、全身的な炎症反応を引き起こし、短期間のうちに亡くなってしまうこともあります。そのため、早期の診断と適切な治療 の実施が重要になります。
わんちゃんの様子がいつもと少し違う・・・と感じたら早めに受診することをおすすめします。
些細なことでもお気軽にご相談ください。

執筆担当:獣医師 小針

動物医療センター元麻布トップページ
港区元麻布3-1-34 カピラ麻布1F
TEL03-6384-5351