アポクル予約
※インターネットからの予約方法

※手術の写真を掲載しておりますので、
苦手な方はご注意ください。

犬の股関節脱臼の整復(トグルピン法)
犬の股関節脱臼脱臼は中高齢に比較的多く、落下や事故などの外傷後に脱臼し、脱臼すると後肢跛行が生じます(後ろ足をケンケンする)。脱臼する方向により、前背側脱臼・後背側脱臼・腹側脱臼と分類されますが、多くは前背側脱臼です、前背側脱臼では脱臼した方の足は内側に入り込み、足が短く見えます。
前背側脱臼(左後肢)の犬の様子。Handbook of SMALL ANIMAL Orthopedics and Fracture Repair より引用。
前背側脱臼の徒手による整復は再脱臼するケースが多く、手術が必要となることがほとんどです。

手術にはかつてから骨頭切除術が多く選択されていますが、骨頭を切ることによる回復の遅延や運動機能の低下が生じるため、当院はまず脱臼を整復し固定する術式を用いています。
固定する方法には、トグルピンを用いた方法と、関節包を再建する方法があります。
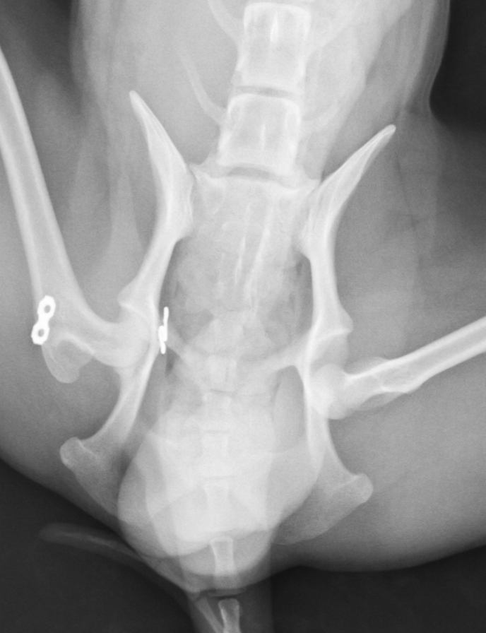
この子は遊んでいたら右後肢を挙上するとのことで来院され、レントゲン画像検査にて右股関節脱臼が確認されました。直ぐに手術を行い脱臼を整復しました。手術にはトグルピン法を行いました。
術後順調に回復していましたが、1ヶ月後には反対足を挙上するとのことで来院され、反対側の脱臼が確認されました。
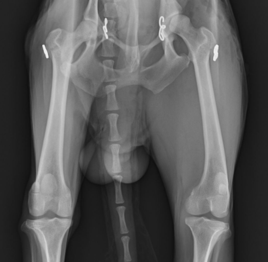
そのため、すぐに反対足も同様の手術を行うことで脱臼を整復しました。
その後の経過は順調で、すぐに歩行開始し(術後2日目には普通に歩行可能でした)、その後再脱臼もせず、普段どおり生活しているとのことでした。

このように、脱臼を整復できた場合には術後回復が早く、運動機能も術前と同じくらいまで回復することができます。
ただし、再脱臼するリスクはゼロではなく、再脱臼してしまった場合には(特に股関節形成不全ではリスクアップ)、大腿骨頭・骨頚部切除術(FHNE/FHO)が選択されます。
また、このこのように両側ともに脱臼するケースも有るため、足をかばってい歩いているときには反対側も注意しなければなりません。股関節脱臼などの外科手術でお悩みの方はご相談ください。

執筆担当:獣医師 磯野
動物医療センター元麻布トップページ
港区元麻布3-1-34 カピラ麻布1F
TEL03-6384-5351