アポクル予約
※インターネットからの予約方法

※手術の写真を掲載しておりますので、
苦手な方はご注意ください。

肩関節脱臼(上腕二頭筋腱転移術)
肩関節脱臼は小型犬種で多く見られ、先天性、後天性(外傷性)に分けられます。肩関節脱臼はほとんどが内方脱臼(上腕骨が内側)で、その次に外方脱臼、前方脱臼、後方脱臼と続きます。まれに両側性に発生することがあります。
肩関節脱臼を発症すると急性期には足をつくことなく挙げてしまいますが(挙上といいます)、慢性期に移行するとかばいながらも歩行できる(跛行といいます)場合もあります。
治療には肩関節が解剖的に正常である場合には元の正しい位置に戻すような治療を行います。先天性の場合や慢性経過の場合には元の構造に戻すことが困難で、肩関節固定(肩甲骨と上腕骨をつなげて一つの骨にする)を行います。関節固定は関節を無くしてしまう術式であり、可動域が減ってしまうため(腕を動かしにくくなる)、今回は正しい位置に戻す方法を解説します。

肩関節を元の位置に戻して固定するには肩の構造上ギプスなどの保存療法は難しく、外科手術が必要となることがほとんどです。外科手術では上腕二頭筋腱内方転移術を用います。肩甲骨の烏口突起から上腕二頭筋に連続する腱を移動させてワッシャーとスクリューで固定する方法です。
左の肩関節を内側から見た解剖学的な位置です。緑の矢印が上腕二頭筋腱です。それを左側(尾側)に移動させ、ワッシャーとスクリューで固定させます。そうすることで上腕二頭筋腱が肩甲骨と上腕骨を強く引っ張り脱臼しないようになります。場合によっては肩甲骨にスクリューアンカーを打ち、糸による靭帯強化を行う場合もあります。
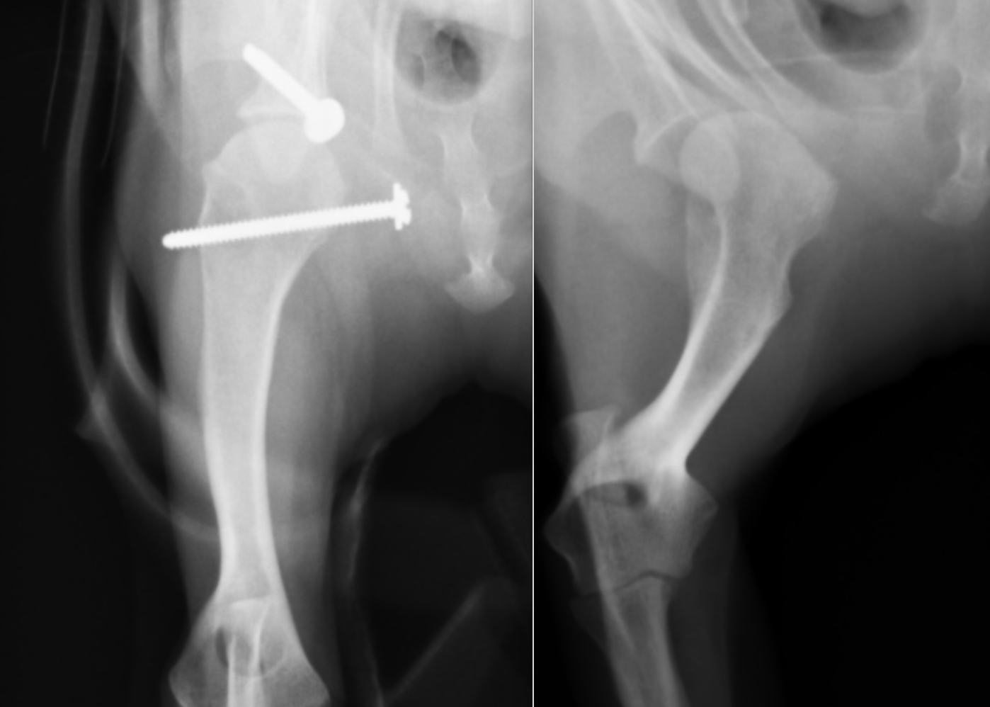
右肩関節脱臼のX線画像です。向かって左の青い矢印がずれているのがわかります。下の上腕骨が内側に入ってしまっているのです。正常な反対は緑矢印が合っているのがわかります。
術後のX線画像です。ワッシャーとスクリューが入っているのが確認できます。また、ずれていた矢印の骨がぴったりと合い、関節がはまっているのがわかります。
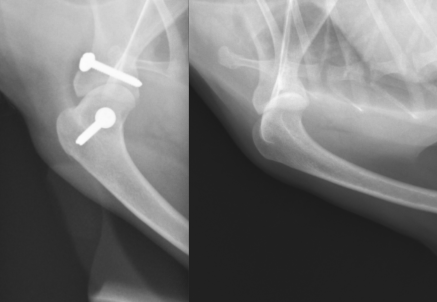
別の症例です。右が術前、左が術後のレントゲンです。分かりやすく肩甲骨と上腕骨に線を引くと・・・・
オレンジのラインが肩甲骨で、赤いラインが上腕骨頭です。右の術前は全くあっていなかった関節が、左の術後にはピッタリとあっているのがわかると思います。今回は前回のスクリューにプラスして、肩甲骨にもアンカーを入れ、糸による靭帯の強化をおこなっています。
横から見たレントゲンです。右が術前、左が術後です。こちらも線を引くと
右のレントゲンではオレンジと赤のラインが全く合っていなかったのが、左の術後ではピッタリとあっているのがわかると思います。
術後は2週間は安静とし、すこしずつ運動を開始していきます。不安定性が強い子にはサポーターを用意して、しばらく装着してもらうこともあります。

足を痛がる、歩き方がおかしい、足をけんけんするなどの運動器疾患でお悩みの方は電話などでご相談ください。

執筆担当:獣医師 磯野
動物医療センター元麻布トップページ
港区元麻布3-1-34 カピラ麻布1F
TEL03-6384-5351