アポクル予約
※インターネットからの予約方法

※手術の写真を掲載しておりますので、
苦手な方はご注意ください。

猫の大腿骨骨折
猫の骨は犬とは異なり、固くもろい性質を持っています。そのため、X線(レントゲン)で普通の骨折のように見えても、実際には細かい骨片があったり、ヒビが入っているということは珍しくありません。同じサイズの犬と思って手術に当たると大きな誤算が出ることがあるため、猫には犬とは違った手術計画をたてる必要があります。
今回は猫の大腿骨骨折をご紹介します。
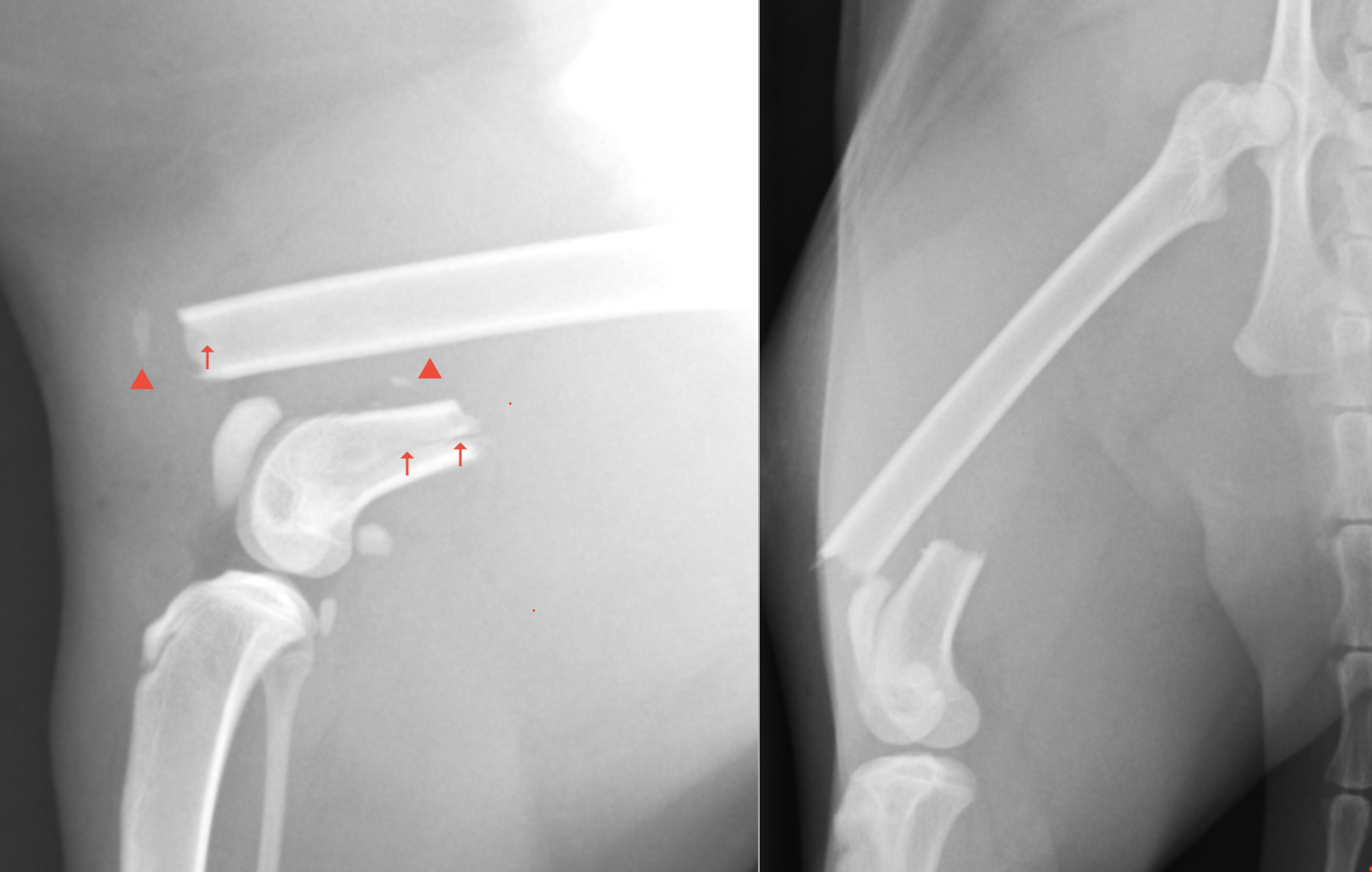
X線上では普通の横骨折に見えなくもないですが、よく見ると、小さい骨片や(矢頭)、ヒビ(矢印)が多数あるのが確認できます。
遠位がかなり短く、骨折線近くにはヒビが多数見えるため、ただの横骨折ではなく、粉砕骨折に近い病態であると考えられました。
治療は手術による固定が必要で、骨折線近くにはインプラントの挿入は困難であると予想されたため、まず最初に長さを維持する髄内ピンを挿入しました(長いピン)。それによりある程度の位置は合ったため、その状態で、外側にプレートを設置しました。外側には2本しかスクリューを入れられなかったため、ロッキングスクリューを入れ固定しました。その状態で、内側の骨片に欠損が見られたため(おそらく欠けた骨)、内側にも補助的にプレートを設置しました。
その状態でかなり安定性が高かったため、上腕骨から海綿骨を移植した後に終了としました。
術前の皮膚ですが、一部穴が空いて外に骨が飛び出していたと考えられます。後ほど行った感受性テストは陰性でした(感染は成立していなかった)。
アプローチして骨を出したところです。血餅が多量に付いていました。また、周囲の筋肉はかなりダメージがありました。
左が小さい方の骨片ですが、ヒビが入っているのが確認されました。この裏にもヒビがありました。
最初に髄内ピンを挿入してCアームという機械で確認しているところです。
ピンを挿入後に筋肉の状態を確認しています。かなり欠損しているのが分かります。
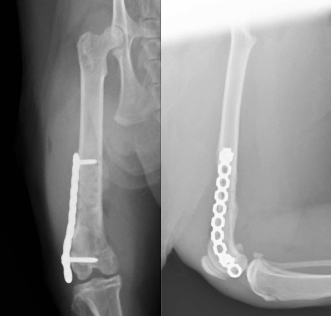
術後のレントゲンです。髄内ピンとして長いピンが2本と、外側にLCPというプレートと、ロッキングスクリュー、内側にリコンストラクションプレートと、コーテックススクリューが設置されています。
かなり筋肉が傷ついていたのもあり、術後は可動域制限(曲がりにくい)がありましたが、徐々に改善され、家に帰ってからは普通に足を使って生活しているとのことでした。2週間は段差のないところで生活してもらい、徐々に普段の生活に戻していきます。
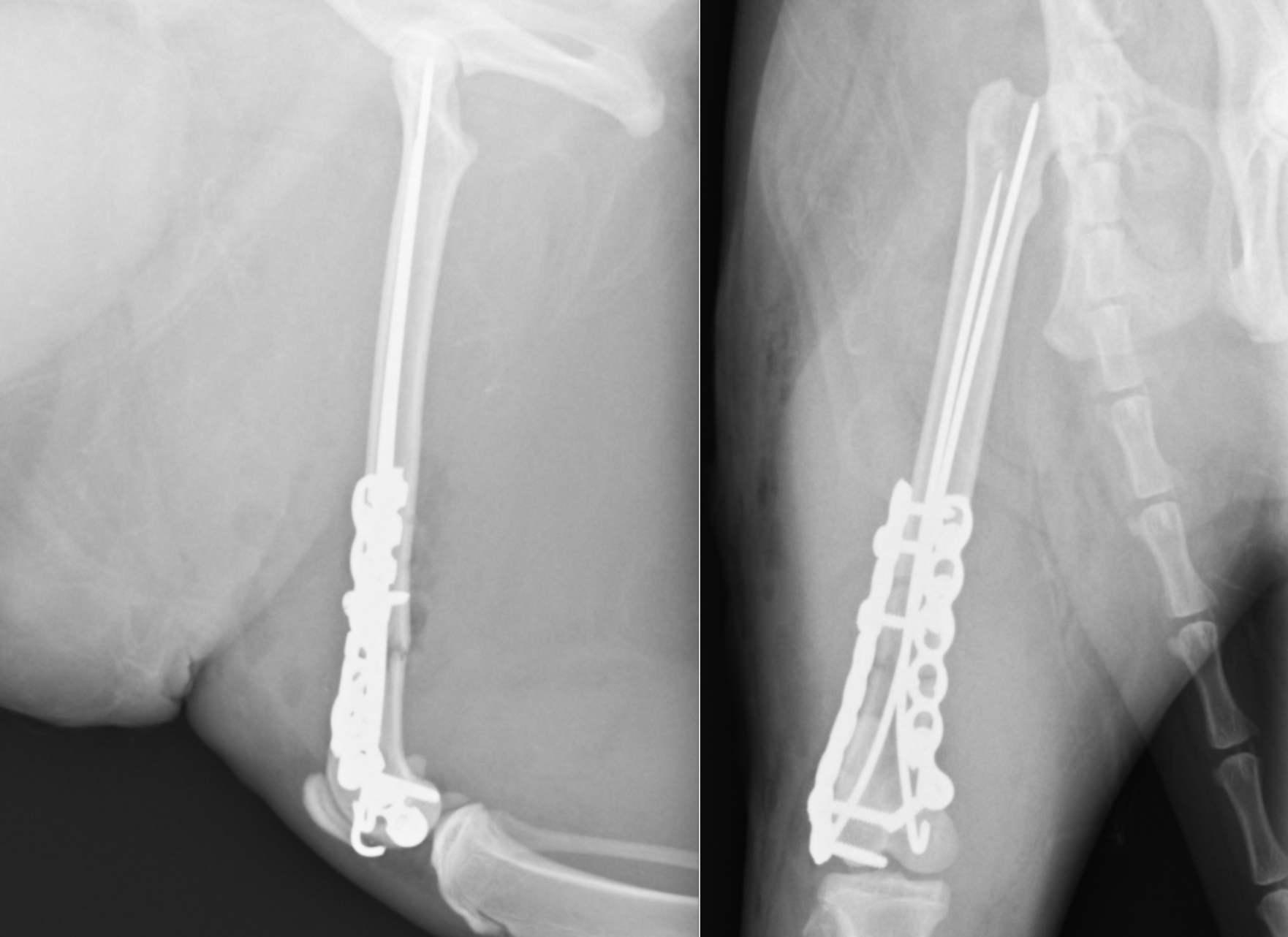
今回は術後2ヶ月ほどでプレートとピンを一部抜去しインプラントの強度を弱めました。ココまでくればもう通常通りの生活に戻ることが可能です。

今回は内固定を実施しましたが、猫の場合は創外固定を使用する場合もあります。骨折の位置や、感染の有無などでどのインプラントを使うかを考えます。猫ちゃんがどこか痛がる、足をあげているなどがあればご相談ください。また、セカンドオピニオンも受け付けていますので、なにか気になることがあればご相談ください。

執筆担当:獣医師 磯野
六本木にある動物医療センター元麻布トップページ
港区元麻布3-1-34 カピラ麻布1F
TEL03-6384-5351