アポクル予約
※インターネットからの予約方法

※手術の写真を掲載しておりますので、
苦手な方はご注意ください。

前肢・橈尺骨矯正骨切り術
若齢時は骨硬化が成長段階であり、ちょっとした衝撃などでも骨折してしまうことが多々あります。特に前肢の橈尺骨はソファーから落ちて折れてしまったというような事故が多いです。折れてしまった骨を放置しておくとそのまま骨がくっつかず、最悪のケースでは足が壊死してしまったり、使えなくなってしまうケースもあります。
運がよいと骨がくっついてくれることがありますが、元通りの真っ直ぐな骨になることはほとんどなく、曲がったまま癒合してしまうことがほとんどです。そのように、曲がってくっついてしまうことを「変形癒合」といいます。
今回は1ヶ月ほど前に足を痛がっていたそうですが、しばらくすると痛みがなくなったので様子を見ていたら、曲がったままになってしまったということで来院されたトイプードルを紹介します。
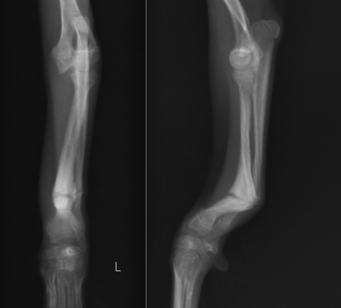
橈尺骨が曲がっているのが分かると思います。この子は、この状態で足を杖のようにしてバランスを取るのに使っていましたが、通常のように負重することはできませんでした。
肉眼的にもかなり湾曲しているのがわかります。
このように曲がったままの状態ですと、うまく足を使えないのはもちろん、何らかの拍子で力が加わったときに曲がった部分で骨折する可能性が高いです(応力集中)。
また、長いこと曲がったままでいると、その状態に慣れてしまう(癖づいていしまう)ため、もとに戻してもうまく足がつかいないことがあります(手首や肘の問題)。
そのため、可能な限り早期に正常な形態に戻すことで、通常通り使用することが可能となる可能性が高くなります。
治療をする場合には細かい計画を立て(角度や長さを術前から計画する)、一度人工的に骨切りを行い、可能な限り真っ直ぐにしてからプレート固定します。一番右が術前、真ん中が術後、左はプレート抜去後になります。
骨が湾曲しすぎていて、腱や筋肉が浮いているのが確認されました。
一度骨切りを実施します。
骨を一部切除します。
プレートスクリューで固定し、海綿骨を移植した後に終了としました。
術後は順調に経過し、足も反対足と同じように使用することが可能となりました。
術後2週間後の写真です。足はまっすぐとなり、しっかりと負重しているのが分かると思います。
足を痛がる、けんけんする、曲がっているなどあれば早めに病院へ行って触診やレントゲン撮影を実施することが重要です。セカンドオピニオンも受け付けていますので、なにか気になることがあればご相談ください。

執筆担当:獣医師 磯野
六本木にある動物医療センター元麻布トップページ
港区元麻布3-1-34 カピラ麻布1F
TEL03-6384-5351