アポクル予約
※インターネットからの予約方法

※手術の写真を掲載しておりますので、
苦手な方はご注意ください。

若齢犬の脛骨遠位成長板の骨折
今回は脛骨遠位成長板骨折についてご説明いたします。成長板とは若齢期に骨が成長するために存在する軟骨状の部位で、骨の端に存在しています(そのため骨端板と呼ばれることもあります)。小型犬ですと成長が終わる生後10ヶ月〜1年ほどで消えていきます。
その成長板を骨折してしまうと後に骨がうまく成長できなくなり、骨に変形が起きたり、短くなってしまうことで、障害が残ってしまうことがあります。そのため、通常の骨折とは対応が異なり、サルターハリス骨折という名称がついています。
サルターハリス骨折は数字が上がるほど重症度が高くなります。5,6は圧迫により成長板が傷害されるタイプです。
今回の症例は3ヶ月1.7kgの子犬でした。同居の犬と遊んでから右後肢を挙上するとのことで、来院されました。来院時にも右後肢は完全挙上であり、足首を屈曲進展すると痛がるのが確認されました。
最初のレントゲンでは異常箇所がはっきりと分かりませんでしたが、ストレス撮影(伸ばしたり、曲げたりした状態で撮影すること)を行ったところ骨折箇所がわかりました。
通常の撮影法で撮影したレントゲン画像です。緑矢印の黒く抜けているところが成長板と呼ばれる部分になります。
左がストレス撮影したレントゲン画像です。青矢印の部分に亀裂が入っているのが確認されました。成長板をまたいで骨折しており、サルターハリス型骨折のタイプⅣであると診断しました。この子は不幸中の幸いで、完全に骨折したわけではなく、若木骨折という状態で一部はまだくっついている状態でした。
関節を曲げ伸ばしした際に常に痛みがでている、放っておくと成長がうまくできなくなる、若木骨折が完全骨折になるなどを考慮し、すぐに手術することとなりました。サルターハリス骨折の場合には関節面をピッタリと合わせることが重要となります。
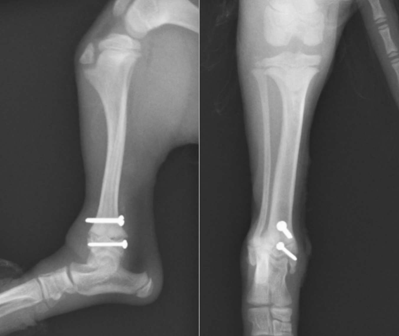
手術ではスクリュー2本を使用し、ラグスクリュー法という方法で圧迫固定しています。術前にあった亀裂がピタッと固定されているのがわかるかと思います。
術後次の日には元気に4本足で歩行可能となり、5日で退院し通常通りの生活を送っています。術後1ヶ月ほどでスクリューを抜去し終了となります。
今回のように通常のレントゲン撮影でわかりにくい場合にはストレス撮影を行うことで検出しやすくなることがあります。また、足をいたがるときには早期の治療で良くなっていくことがほとんどです。なかなか良くならないなどのセカンドオピニオンも受け付けていますので、なにか気になることがあればご相談ください。

執筆担当:獣医師 磯野
麻布にある動物医療センター元麻布トップページ
港区元麻布3-1-34 カピラ麻布1F
TEL03-6384-5351