アポクル予約
※インターネットからの予約方法

※手術の写真を掲載しておりますので、
苦手な方はご注意ください。

猫のモンテジア骨折
今回は2022年3月18日、19日、20日に開催された獣医麻酔外科で発表した症例をご紹介したいと思います。
2021年度第103回オンライン学術集会
今回は猫のモンテジア骨折についてです。
モンテジア骨折とは尺骨近位1/3の骨折と橈骨頭の脱臼を併発したものであり、後にBado(1967)らにより4つのタイプに分類され、犬や猫では稀であると報告されています。
また、モンテジア骨折の中でも解剖学的整復が不可能な関節内骨折は稀であり、固定が困難であるとの報告があります。

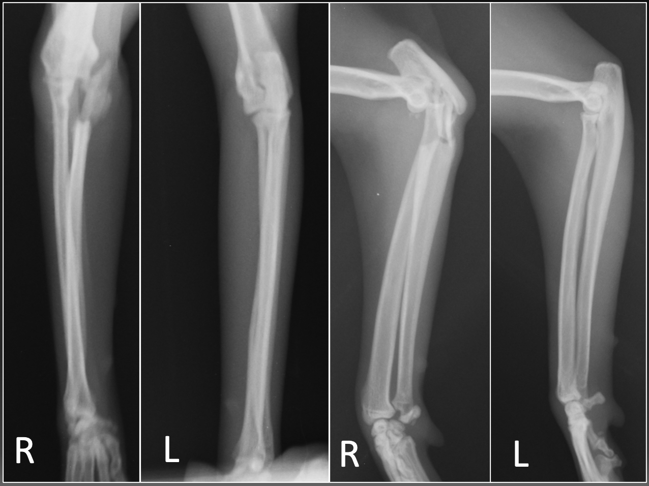
症例は雑種の避妊雌、推定3歳、体重4.3kgの猫です。保護猫のため詳細は不明ですが、1ヶ月以上前から右前肢を挙上しているとのことで来院されました。 来院時のX線画像検査所見です。右側の尺骨の関節内粉砕骨折および、橈骨頭の尾側変位が確認されました。尺骨鈎状突起から遠位にかけて多数の骨片を伴う骨折が認められました。このように関節内が粉砕している場合には、元通りにきっちりと全てを戻すことは困難です。
来院時のX線画像です。肘の部分の骨が折れてしまっているのがわかると思います。骨折の仕方からタイプ2モンテジア粉砕骨折と診断しました。
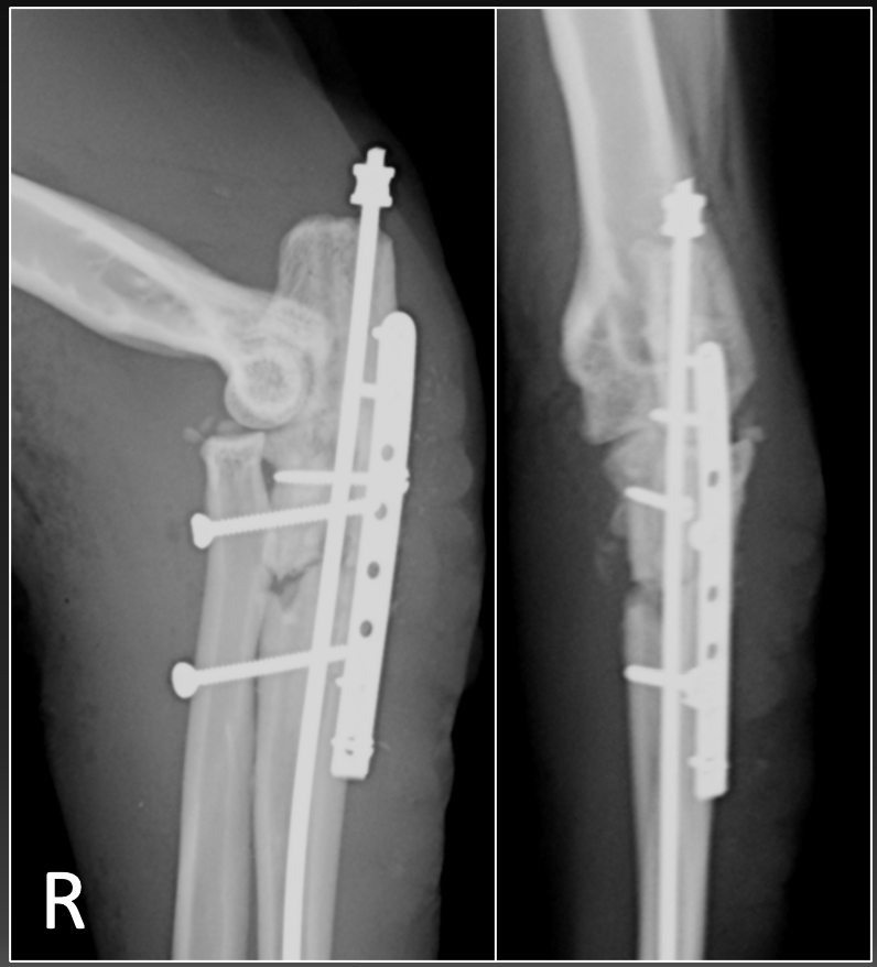
治療は、ギプスなどの外固定と呼ばれる方法も選択肢の一つですが、この状態でバンテージなどで完治させることは困難であり、外科手術を実施しました。手術では髄内ピンと呼ばれるピンを挿入後、プレートにて骨片を固定しました。また、橈骨と尺骨がずれないように、スクリューを打ち込みました。
術後は段階的に、まずはスクリューを抜去し、その後骨が癒合したため、スクリューを抜去しました。プレートのスクリュー抜去時には骨は癒合し、一本の骨になってくれているのがわかると思います。また、症状も改善し、通常通りジャンプして生活できるようになっていました。
足を痛がる、挙げてしまう、ケンケンしているなどの症状でお悩みの方や、なかなか骨がうまくくっつかない(癒合不全)などがある方はご相談ください。

執筆担当:獣医師 磯野
動物医療センター元麻布トップページ
港区元麻布3-1-34 カピラ麻布1F
TEL03-6384-5351